2022-03-30 10:48:15.0

Pesquisas realizadas no Hospital Universitário da UFSCar valorizam diagnóstico precoce de cardiopatias congênitas

Estudo de caso indica relação entre Covid-19 materna e alterações cardíacas no feto

Pesquisas desenvolvidas no Hospital Universitário da Universidade Federal de São Carlos (HU-UFSCar/Ebserh) evidenciaram a relevância do diagnóstico precoce de complicações relacionadas às cardiopatias congênitas, alterações cardíacas que têm origem no embrião e evoluem durante a gestação. Um dos estudos comparou a eficácia de dois exames na obtenção desse diagnóstico - a ultrassonografia obstétrica e a ecocardiografia fetal - e o outro, um estudo de caso, acompanhou gestante que teve Covid-19 confirmada na 23ª semana de gravidez, com impactos sobre a saúde fetal.
Os estudos, coordenados pelos cardiologistas e docentes do Departamento de Medicina (DMed) da UFSCar Haroldo Teófilo de Carvalho, da área de Saúde da Criança e do Adolescente, e Meliza Goi Roscani, da área de Saúde do Adulto e Idoso, tiveram a participação das estudantes de graduação em Medicina Maria Paz Lozano Chiquillo, Stella Naomi Tanaka e Lana Kummer, além de Ana Cândida Arruda Verzola de Castro, cardiologista no HU-UFSCar/Ebserh.
As cardiopatias congênitas compreendem um grupo de malformações estruturais e alterações fisiológicas associadas a alta mortalidade infantil. No Brasil, cerca de 30% dos recém-nascidos com essas doenças recebem alta hospitalar sem que haja um diagnóstico. Embora estudos indiquem maior acurácia (maiores sensibilidade, com consequente redução de falsos negativos, e especificidade, com menos falsos positivos) da ecocardiografia fetal na detecção das cardiopatias congênitas, não há centros especializados, condições técnicas e profissionais qualificados para adotar o exame em todas as gestantes, restando a ultrassonografia como instrumento mais amplamente utilizado.
Em um contexto de adoção da ecocardiografia no ambulatório de Cardiologia Pediátrica do HU-UFSCar/Ebserh, para mulheres com fatores de risco para cardiopatias congênitas nos fetos - tais como idade superior a 40 anos, comorbidades e condições clínicas durante a gestão, dentre outras -, um dos estudos comparou a acurácia do ultrassom com a ecocardiografia em 44 gestantes, das quais 10 deram à luz crianças com cardiopatias congênitas confirmadas.
Os resultados mostraram acurácia (97,7%), sensibilidade (100%) e especificidade (96,8%) maiores com o uso da ecocardiografia. No entanto, considerando as dificuldades já apresentadas e os valores encontrados para a ultrassonografia - acurácia de 81,8%, sensibilidade de 57,1% e especificidade de 93,3% -, os pesquisadores concluem que os resultados da ultrassonografia realizada por profissional experiente, conforme as técnicas recomendadas, segue sendo um instrumento útil na indicação de encaminhamento das gestantes para centros especializados, para exames no feto, diagnóstico, planejamento do parto e tratamento logo após o nascimento.
Os resultados do estudo foram publicados em artigo no periódico Progress in Pediatric Cardiology (acesso via https://bit.ly/3wOxw3j).

Covid-19
O grupo de pesquisadores também publicou recentemente, no periódico EC Paediatrics (acesso via https://bit.ly/3IQNv3h), estudo de caso de gestante atendida no Hospital da UFSCar, com Covid-19 confirmada quando estava com 23 semanas e 6 dias de gravidez. O estudo relata que a mulher deixou de apresentar sintomas uma semana após o diagnóstico. Porém, 20 dias depois de ser diagnosticada, ultrassonografia em consulta de rotina identificou alterações no ritmo (taquicardia) e na estrutura do coração do feto. Foi, então, iniciado tratamento com o medicamento recomendado, bem como realizado acompanhamento semanal, com o bebê nascendo saudável na 38ª semana.
A partir do relato, os pesquisadores alertam para as possibilidades de alterações cardíacas nos fetos mesmo em caso de doença leve na mãe, que poderiam ter passado despercebidas frente à interrupção dos sintomas da Covid-19 na gestante. Assim, recomendam que mulheres grávidas diagnosticas com a doença sejam consideradas pacientes de alto risco e, assim, acompanhadas por profissionais qualificados, com avaliações frequentes, inclusive laboratoriais. Em relação aos exames a serem realizados, afirmam que, neste caso, a ecocardiografia fetal é essencial na aparição dos sintomas, na fase de convalescença e para controle quando alterações são identificadas.
"Nossos resultados confirmam a relevância do diagnóstico precoce das cardiopatias congênitas a fim de oportunizar ao paciente um tratamento adequado, qualidade de vida e redução da morbidade, evidenciando também a necessidade de exames ultrassonográficos realizados seguindo padrões criteriosos de qualidade, além da inserção do ecocardiografia fetal nos programas de triagem pré-natal", sintetiza Carvalho. "É dentro desta perspectiva que a inserção precoce do estudante de graduação em projetos de pesquisa torna-se um instrumento valioso para aprimorar qualidades desejadas em um profissional de nível superior, bem como para estimular e iniciar a formação daqueles mais vocacionados para a pesquisa", acrescenta.

anexos:

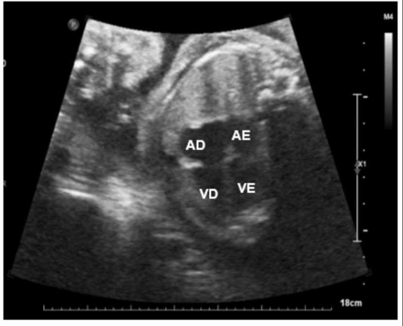
Ecocardiograma fetal mostrando a estrutura do coração (Imagem: Acervo do grupo de pesquisa)
Contato para esta matéria: Mariana Pezzo  Telefone: (16) 33066563  
Creative Commons License
Esta notícia é licenciada sob uma Licença Creative Commons Atribuição 3.0 Brasil.
Baseada no trabalho de www.comunicacao.ufscar.br
« voltar
Sistema de Apoio à Comunicação Integrada (SACI) ícone do SACI - Copyright© 2009- UFSCar - CCS - Versão 5.0.4